CAHI DENTAL & PROSTHODONTIC NEWS
Dental | Prosthodontics | Cosmetic Dentistry | Charity | Celebrity | Makeover | Magazine Article | Health Tips
45 Years of Dentistry | Dr. Norman Cahi
Dr. Norman Cahi has been called the "dentist to the stars" - but his 45-year journey in dentistry tells a much deeper story than the glamorous Instagram posts suggest. From practising without gloves in the 1980s to pioneering teeth whitening in South Africa, Dr. Cahi...
Smile Club Podcast – Money in dentistry is not about greed. It’s about value delivered and lives improved.
After 45 years in the profession, Dr Norman Cahi has seen it all…From the early days of analog dentistry to the rise of digital workflows, facial aesthetics, and AI. Yet through every change, one thing has stayed the same: his belief that making money in dentistry...
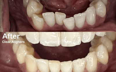
Can You Get Braces as an Adult in South Africa?
Introduction Still think braces are only for teenagers? That idea is long gone. A growing number of adults across South Africa, especially in places like Parktown North, are finally taking the leap and transforming their smiles—often with better results and confidence...
Bad Breath Solutions: Causes, Cures & Confidence Boosters
Introduction Let’s face it—bad breath (aka halitosis) is awkward, embarrassing, and downright frustrating. Whether you're heading into a meeting, going on a date, or just talking with friends, the last thing you want is to be worried about your breath. What makes it...
How Botox Helps with More Than Just Wrinkles
Botulinum Toxin: More Than Just Wrinkle Reduction Botulinum Toxin more commonly referred to as Botox is known for smoothing out fine lines, but it has many other benefits too. At Cahi Dental Practice, botox is used to: Relieve TMJ pain: Reduces jaw pain, stiffness,...
Closing the Gap: Tooth Bonding Services in Parktown North
Introduction: Is That Gap in Your Smile Holding You Back? Ever caught your reflection mid-laugh and suddenly noticed that tiny, awkward gap between your teeth? You’re not alone. Whether caused by a chipped tooth, minor spacing issues, or everyday wear and tear, tooth...
Broken Tooth? Get Help Fast in Parktown North
Tooth pain is no joke—especially when it's from a cracked, chipped, or broken tooth. Whether it happened during a rugby match, a bite into something too hard, or completely out of nowhere, a broken tooth demands fast action. If you’re in Parktown North, don’t...
How often should I visit the dentist?
Introduction: When was the last time you saw your dentist? If you’re squinting and trying to recall, you’re not alone. Most people only think about visiting the dentist when something hurts—but that’s a risky game. Regular dental checkups are about so much more than...
Stop Cavities Before They Start: 9 Dentist-Approved Ways
Cavities don't just happen overnight. They're sneaky little intruders, and once they start forming, they can be a real pain—literally and financially. But here’s the good news: cavities are 100% preventable with the right strategies. Wondering how to protect your...
Dentures vs. Implants: How to Choose
IntroductionMaking the right choice between dental implants and dentures can feel overwhelming. You're not alone. Many South Africans in Parktown North and beyond struggle to choose what’s best for their smile, lifestyle, and budget. Both options can restore...
HAVE A QUESTION?
we practice KINDNESS
At our practice, we promise to provide you with a detailed and accurate diagnosis of your present dental condition. As your trusted dentist in parktown north, we will explain all treatment options and expenses, ensuring that together we make the best decisions for your dental health. We are committed to working within your time and budget to provide the care you deserve.
find us
Parktown North
25 3rd Avenue,
Parktown North,
South Africa - View Map
Practice: 0 11 305 9300
Practice Cell: 073 383 0516
Emergencies : 083 453 3104 (text only)
practice hours
Mondays 08:00 - 17:00
Tuesdays 08:00 - 17:00
Wednesdays 08:00 - 17:00
Thursdays 08:00 - 17:00
Fridays 08:00 - 17:00
Saturday by Special Appointment Only
Closed Weekends and Public Holidays
HAVE A QUESTION
© CAHI Dental & Prosthodontic Practice | ALL RIGHTS RESERVED. EMAIL DISCLAIMER | WEBSITE DISCLAIMER | PRIVACY POLICY | POPI POLICY











